(815) 744-4443
Hablamos Español
The image is a photograph of a smiling woman with short hair, wearing a sports bra and shorts, standing on a beach.

Smile Gallery

The image is a photograph of a smiling woman with short hair, wearing a sports bra and shorts, standing on a beach.
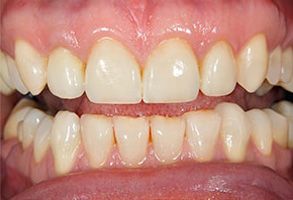
The image shows a close-up of an individual s smile, revealing yellowing and staining on the teeth, which is indicative of dental issues such as tooth decay or discoloration.

Before

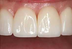
Image of a close-up view of a person s smiling mouth, displaying white teeth and red gums.

After

The image shows a close-up of a person s mouth displaying a set of braces with clear aligners, and the teeth are white.

Before

The image shows a close-up of a person s teeth with a metal bracket and wire attached to the upper front teeth, which is commonly used for orthodontic treatment.

After

The image shows a close-up of a person s mouth with yellowed teeth, some of which appear to be missing, and the lips are slightly parted.

Before

The image shows a close-up of an open mouth with teeth and gums, against a plain background.

After

Smiling man with a missing tooth, showcasing dental implant advertisement.

Before

The image shows a close-up of a person s smiling mouth and teeth, with the upper lip partially visible.

After

The image shows a close-up of a person s teeth with an open mouth, revealing the teeth and gums.

Before

The image shows a close-up view of a person s teeth, with the focus on a set of white dentures or artificial teeth that appear to be well-maintained and clean.

After

The image shows a close-up of a person s teeth with visible signs of dental decay and discoloration.

Before

The image displays a close-up view of a person s teeth, showcasing a bright and clean smile with white fillings.

After

The image shows a close-up of a person s teeth with a focus on a large front tooth that appears to be discolored or damaged.

Before

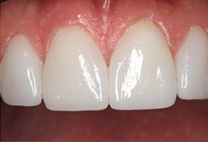
The image shows a close-up of a person s teeth, with the teeth appearing to be in good condition and possibly professionally cleaned or whitened.

After

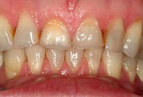
The image shows a close-up of an individual s mouth with visible yellowing on the teeth and a large gap between two front teeth, which are likely to be upper incisors.

Before

The image shows a close-up of a person s teeth with a focus on the dental work, specifically the yellowing and staining around the edges.

After

Contact Us

Schedule your appointment online or give us a call to get started today.

Hablamos Español

Dental Smiles of Joliet 2410 W. Jefferson St, Joliet, IL 60435